Skip to main content
After many years of serving the Spartanburg community, Dr. John T. Lettieri will be retiring from active practice effective March 1, 2026.
Learn More
Menu
Home
About Us
About Us Overview
Dr. Ashley Rawson Kerekes
Dr. Hannah England
Kristen Russell, APRN, CPSN
Meet Our Staff
Office Tour
Forms
Financing & Insurance
Testimonials
Out of Town Patients
Blog
Surgical
Face
Facial Procedures Overview
Brow Lift
Facelift
Eyelid Surgery
Brow Lift
Ear Surgery
Facial Fat Grafting
Body
Body Procedures Overview
Tummy Tuck
Liposuction
Mommy Makeover
Body Contouring After Weight Loss
Fat Grafting
Breast
Breast Procedures Overview
Breast Augmentation
Breast Lift
Breast Reduction
Breast Reconstruction
Resensation
®
Breast Fat Grafting
Med Spa
Med Spa Overview
Cosmetic Injectables
Cosmetic Injectables Overview
AlloClae™ Adipose Matrix Filler
Neuromodulaters: BOTOX
®
Cosmetic, Dysport
®
and XEOMIN
®
HA Dermal Fillers: JUVÉDERM
®
& Restylane
®
PLLA Dermal Filler: Sculptra
®
Asclera
®
Laser & RF Procedures
Laser & RF Procedures Overview
Laser Skin Resurfacing
Laser Hair Removal
Laser Tattoo Removal
Birthmark Removal
IPL Therapy
Morpheus8
Skin Treatments
Skin Treatments Overview
Avéli
®
Cellulite Treatment
SkinPen
®
Microneedling
Hydrafacial
®
Blue or Red Light Therapy
Chemical Peels
Facials
Waxing
Eyebrow Tinting
Skin Care Products
Medically Managed Weight Loss Program
Biote
®
Bioidentical Hormone Replacement Therapy
Gallery
Specials & Events
Specials & Events
Reconstruct the Runway
Contact
Pay My Bill
Spartanburg, South Carolina
100 East Wood Street
#100
Spartanburg, SC 29303
864.583.1222
Carolina Plastic Surgery & Medical Spa
Laser Eyelid Surgery Gallery
Home
/
Gallery
/
Laser Eyelid Surgery
Select Dr:
All
Lettieri
Lettieri
All
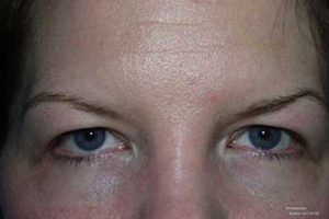
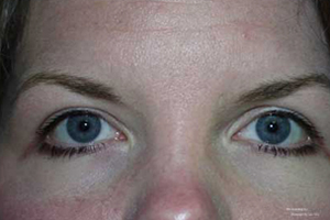
Laser Eyelid Surgery Results
Patient 1
**John Lettieri, MD, FACS Patient
View Details
Patient 2
**John Lettieri, MD, FACS Patient
View Details
Patient 3
**John Lettieri, MD, FACS Patient
View Details
Patient 4
**John Lettieri, MD, FACS Patient
View Details
Patient 5
**John Lettieri, MD, FACS Patient
View Details
Patient 6
**John Lettieri, MD, FACS Patient
View Details
Back to Main Gallery
Viewing Results From
All Cases
Close
ANNOUNCEMENT